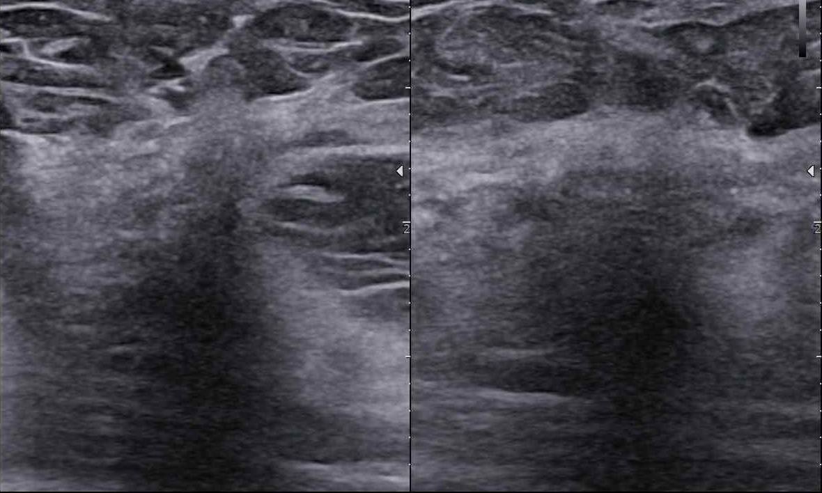
Czy podział BIRADS 4 ma sens? Jak radzić sobie z BIRADS 4a, b, c? Morfologiczne wskazówki
Link do platformy Zoom zostanie wysłany w dniu webinaru na podany adres e-mail
100,00 zł
100.0
PLN
100,00 zł
| Organizator | Medisfera |
|---|---|
| Ostatnia aktualizacja | 12.10.2025 |
| Uczestników | 31 |
Udostępnij ten kurs
Link do udostępniania
Udostępnianie w mediach społecznościowych
Udostępnij przez e-mail
Proszę login By udostępnić Czy podział BIRADS 4 ma sens? Jak radzić sobie z BIRADS 4a, b, c? Morfologiczne wskazówki przez email.