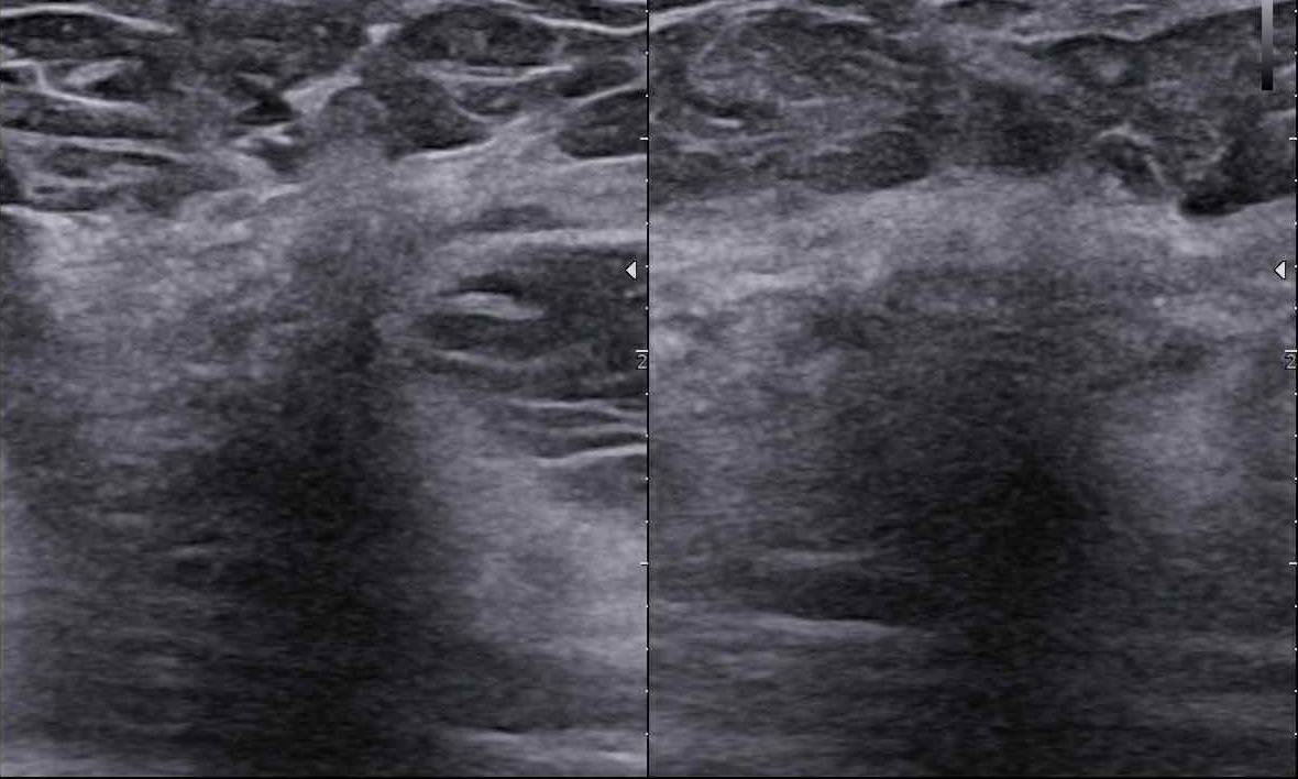
Czy podział BIRADS 4 ma sens? Jak radzić sobie z BIRADS 4a, b, c?
Czy my rzeczywiście potrafimy czytać tę skalę? Dlaczego tyle jest rozbieżności?
Link do platformy Zoom zostanie wysłany w dniu webinaru na podany adres e-mail
100,00 zł
100.0
PLN
100,00 zł
Organizator | Medisfera |
---|---|
Ostatnia aktualizacja | 12.10.2025 |
Uczestników | 1 |
Udostępnij ten kurs
Link do udostępniania
Udostępnianie w mediach społecznościowych
Udostępnij przez e-mail
Proszę login By udostępnić Czy podział BIRADS 4 ma sens? Jak radzić sobie z BIRADS 4a, b, c? przez email.